Gespecialiseerde kliniek voor gelaatsverjonging

Wallen onder de ogen? Vermoeid uiterlijk? Denk aan een onderooglidcorrectie

17 april 2026

Prof. dr. Berend van der Lei, plastisch chirurg bij Prof. Aesthetics in Haren (nabij Groningen): "Wallen onder de ogen zorgen vaak voor een vermoeide uitstraling. Mensen krijgen regelmatig de vraag of ze wel goed hebben geslapen, zelfs wanneer dat niet zo is. Ook bij het kijken in de spiegel of op foto's kan dit als storend worden ervaren."

In veel gevallen zijn wallen onder de ogen goed te behandelen. De zwelling bevindt zich meestal direct onder het onderooglid en wordt vaak veroorzaakt door uitpuilend vet. Daarnaast is er regelmatig sprake van een duidelijke overgang tussen onderooglid en wang, waardoor de wallen extra opvallen.

Het consult

Overweegt u een behandeling, dan is een consult de eerste stap. Tijdens dit gesprek wordt zorgvuldig beoordeeld wat in uw situatie mogelijk is. U krijgt een realistisch beeld van het te verwachten resultaat, evenals een heldere uitleg over risico's en hersteltijd. Een onderooglidcorrectie behoort tot de meer verfijnde ingrepen in het gelaat, waarbij ervaring en precisie essentieel zijn.

De dual plane-techniek

Prof. dr. Berend van der Lei past een deels zelf ontwikkelde "dual plane"-techniek toe, waarbij de kringspier van het onderooglid zo veel mogelijk wordt gespaard. Wanneer uitsluitend sprake is van vetwallen, kan de correctie via de binnenzijde van het ooglid plaatsvinden, zonder uitwendig litteken. Het vet wordt daarbij deels verwijderd en deels verplaatst om een zachtere overgang naar de wang te creΓ«ren.

Bij een overschot aan huid wordt alleen via een subtiele benadering boven de kringspier van het onderooglid gecorrigeerd. Doordat de spier intact blijft, verloopt het herstel over het algemeen vlotter en met minder zwelling.

Bij wallen in combinatie met huidoverschot worden bovengenoemde technieken gecombineerd: boven en onder de kringspier β€” vandaar de term "dual plane".

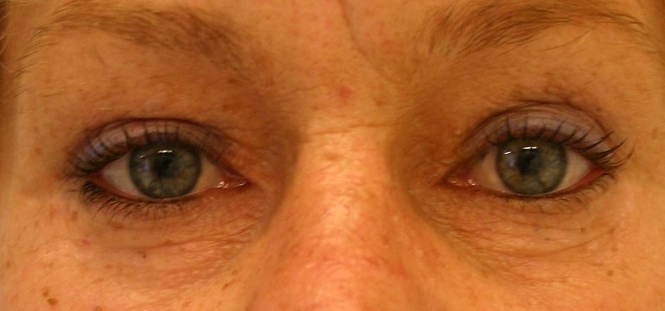
Onderooglidcorrectie voor – 47-jarige vrouw
Onderooglidcorrectie na – 47-jarige vrouw

Het natuurlijke resultaat van een zeer geslaagde onderooglidcorrectie bij een vrouw van 47 jaar.

Een zorgvuldig uitgevoerde onderooglidcorrectie geeft een frisse, natuurlijke uitstraling. De vermoeide blik verdwijnt en littekens zijn meestal al snel nauwelijks meer te zien.

Voor advies en behandeling op het gebied van gezichtsverjonging β€” van injectables en boven- en onderooglidcorrecties tot meer uitgebreide ingrepen zoals een facelift β€” is een deskundige en ervaren aanpak van groot belang. Een consult biedt de mogelijkheid om uw wensen te bespreken en samen tot een passend behandelplan te komen.

Overweegt u een onderooglidcorrectie?

Lees meer over de behandeling of maak een afspraak voor een persoonlijk consult.

Bekijk de behandelpagina β†’
Informatie gevonden of heeft u nog vragen?Neem contact opMaak een afspraak